
本病是由人乳头状瘤病毒(HPV)感染引起的,好发于青少年的病毒感染性疾病。临床表现为皮色或粉红色的扁平丘疹,多见于面部和手背,无明显的自觉症状,病程慢性。可通过直接或间接的接触传染。

临床表现
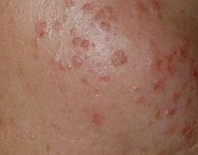
好发于青少年,可突然起病,皮损多发于面部、手背、手臂,表现为大小不等的扁平丘疹,轻度隆起,表面光滑,呈圆形、椭圆形或多角形,境界清楚,可密集分布或由于局部搔抓而呈线状排列,一般无自觉症状,部分患者自觉轻微瘙痒。病程呈慢性经过,可持续多年,部分患者可自行好转。
检查
病理检查表皮网篮状角化过度伴角化不全,棘层肥厚,表皮上部可见较多空泡细胞,胞核嗜碱,颗粒层均匀肥厚。真皮改变不明显。
护理措施
a、患上该疾病的朋友,一定要拥有好的心态,要接受自己患上疾病的事实。尽量让自己时刻保持放松的开心的状态,扁平疣疾病的病程是比较漫长的,在治疗之后,但医治后皮疹即可变平、衰退,不留任何痕迹,因而医治时期要达观,有耐性、意志。
b、扁平疣病人的饮食该以清淡为主,多吃蔬菜、水果,弥补多种维生素等。忌烟酒、辛辣刺激性饮食。
c、关于顽固不愈的疣,最好到医院规范医治。扁平疣的验方与医治办法许多,不管用啥办法,要保证在正常肌肤安排不受损害的情况下进行医治。
d、扁平疣感染方式主要是经过直接触摸,当然也包含比方针、刷子、毛巾等间接性感染。所以日子中扁平疣病人应当独自运用一套日子用具,做到慎重对待创伤性医治及本身疣体种植医治,不宜搔抓或抠剥疣体,也不宜过度搓洗避免造成本身接种,留意个人卫生,忌与别人共用清洁用具。
本文章链接地址 转载请注明:http://www.4000028295.com/bpy/20.html
文章内容也只能是个大概,建议您花几分钟时间与在线医生沟通,让在线医生为您详细的分析病情。点击此处即可在线咨询医生>>>
版权所有:福州华研医院
医院电话:0591-83832226 咨询Q Q:2262561417
地 址:福州市台江区五一南路1号(联信大厦)
注:网站信息仅供参考,不能作为诊断及医疗依据,就医请遵照医生诊断
友情链接